Zahnersatz

Müssen bei Ihnen, lieber Patient, nach Zahnverlust wieder Zähne ersetzt werden, bieten wir Ihnen in unserer Praxis das gesamte Spektrum des modernen Zahnersatzes. Dieses fängt bei einfachen herausnehmbaren Varianten an, umfasst festsitzende funktional und ästhetische Lösungen und endet bei hochkomfortablen anspruchsvollen Implantatlösungen.

 

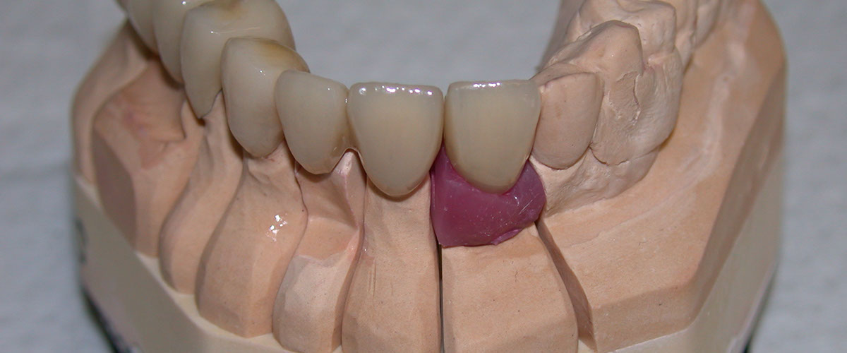
Bevor wir bei Ihnen Zahnersatz planen, geht immer eine umfangreiche genaue Diagnostik und Untersuchung Ihrer Mund- und Zahnsituation voraus.

 

Anschauungsmodelle, Ihre Situationsmodelle, digitale Röntgenbilder helfen uns dann, Ihnen die verschiedenen Zahnersatzalternativen zu erklären.

 

Für uns ist es wichtig, dass Sie, lieber Patient, vor der Behandlung wissen, welchen Umfang die geplante Behandlung umfasst. Daher kommt dem ausführlichen, individuellen Beratungsgespräch mit Ihnen große Bedeutung zu.

 

 

Sprechzeiten:

 

Montag            07.00 - 20.00 Uhr

Dienstag          07.00 - 20.00 Uhr

Mittwoch         07.00 - 20.00 Uhr

Donnerstag    07.00 - 20.00 Uhr

Freitag              07.00 - 20.00 Uhr

 

Terminvereinbarungen unter:

Telefon 02303/770 777

Zahnärzte Dr. Peter Spink & Dr. Markus Trockels - Schäferstraße 20 - 59423 Unna - Telefon: 02303/770 777

Datenschutz - Impressum